平成25年度(第48回)理学療法士国家試験問題
第48回国家試験 午前1
Daniels らの徒手筋力テスト足関節底屈のテストを図1及び図2に示す。
誤っているのはどれか。3つ選べ。

第48回国家試験 午前2
関節可動域測定法(日本整形外科学会、日本リハビリテーション医学会基準による)で正しいのはどれか。2つ選べ。

第48回国家試験 午前3
児の左半身の関節可動域を測定した結果を表に示す。
この児がとることのできる姿勢はどれか。

第48回国家試験 午前4
筋力測定器で膝伸展等尺性筋力を測定しているところを図に示す。測定値は150Nであった。対象者の体重は60kgである。
体重比モーメントで正しいのはどれか。

第48回国家試験 午前5
30歳の男性。右外果骨折に対して金属プレートで骨接合術を施行した。術後2か月経過。熱感はなく、全荷重が可能となっているが、足関節の背屈制限が残存している。
関節可動域訓練前の物理療法で適切でないのはどれか。
第48回国家試験 午前6
スポーツ傷害に対する超音波照射部位で正しいのはどれか。

第48回国家試験 午前7
82歳の女性。脳卒中後の右片麻痺。プラスチック製短下肢装具を装着してT字杖歩行が可能である。装具は足尖までの長さで足継手はない。Brunnstrom法ステージでは上肢Ⅳ、下肢Ⅴ。右立脚後期が歩行周期の中で極端に短く安定性も低下している。装具に修正を加えたところ歩容は改善した。
装具に加えた修正はどれか。
第48回国家試験 午前8
3歳の男児。先天性の腰髄髄膜瘤による二分脊椎。この男児の足の写真(下図)を別に示す。
この児の歩行改善に必要なのはどれか。

第48回国家試験 午前9
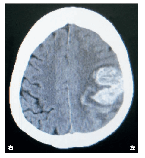
65歳の男性。右利き。突然の意識消失のため救急搬入された。診察時のJCSⅢ-200、血圧210/120 mmHg、脈拍90/分であった。搬送時の頭部CT(下図)を別に示す。
意識を回復した際に認められるのはどれか。2つ選べ。

第48回国家試験 午前10
65歳の男性。右利き。突然の意識消失のため救急搬入された。診察時のJCSⅢ-200、血圧210/120 mmHg、脈拍90/分であった。搬送時の頭部CT(下図)を別に示す。
入院翌日に理学療法が依頼された。JCSⅡ-10、血圧150/100mmHg、脈拍90/分で、バイタルチェックを行いながら、理学療法を開始することになった。
この日に行う訓練で適切なのはどれか。

第48回国家試験 午前11
60歳の男性。10年前にParkinson病と診断された。日常生活は自立している。
すくみ足のため自宅で頻回に転倒するようになった。
この患者に対する指導で適切なのはどれか。
第48回国家試験 午前12
48歳の女性。2年前に多発性硬化症と診断された。これまで日常生活はおおむね自立していたが、1週前から視力の低下、両側下肢の脱力が増悪し入院となった。薬物治療後に理学療法が開始されたが、視力の低下、両側下肢の筋力低下および軽度のしびれが残存している。
この時点の深部感覚障害の程度を適切に検査できるのはどれか。
第48回国家試験 午前13
28歳の女性。生来健康であったが、1週前に急に回転性のめまいが出現した。良性発作性頭位眩暈症と診断され、理学療法が開始された。初回評価時には座位は可能であるが立位の保持は不安定であった。非注視下での眼振を認め、姿勢変換時にめまい感が増悪する。
この障害を改善するための理学療法で適切なのはどれか。
第48回国家試験 午前14
62歳の女性。両側の変形性膝関節症で、膝関節に軽度の伸展制限と中等度の内反変形とがみられ、Mikulicz線は膝関節中心の内側に偏位している。
運動療法で適切でないのはどれか。

第48回国家試験 午前15
45歳の女性。40 歳で関節リウマチを発症し、寛解と増悪を繰り返している。両手関節の腫脹と疼痛が顕著である。歩行は可能であるが、左膝関節の疼痛と変形が強いため人工関節置換術を検討している。
術前に使用する歩行補助具として適切なのはどれか。2つ選べ。
第48回国家試験 午前16
健常な1か月児にみられる姿勢はどれか。

第48回国家試験 午前17
頸髄損傷(第6頸髄節まで機能残存)患者に対する車椅子上の動作指導の方法で誤っているのはどれか。

第48回国家試験 午前18
70歳の女性。脳梗塞による右片麻痺。発症後5か月経過。Brunnstrom法ステージは上肢、手指、下肢ともにⅢ。金属支柱付き短下肢装具とT字杖とで病院内歩行が自立した。
退院に向けたADL指導で正しいのはどれか。2つ選べ。
第48回国家試験 午前19
58歳の男性。身長164cm、体重88kg。高血圧と型糖尿病で通院していた。空腹時血糖値の異常と急激な視力低下で緊急入院した。入院時の空腹時血糖値は268mg/dl、HbA1cは12 .8%であった。入院後のインスリン投与により空腹時血糖値は156mg/dlに低下した。
理学療法で正しいのはどれか。
第48回国家試験 午前20
20歳の男性。膝関節伸展運動を等速性に行った。角速度30°/sで設定したとき、最大トルク値は150Nmを示した。
この時の最大パワー(W)はどれか。
ただし、πは180°とする。